Skip to main content English

Neue Studie eröffnet vielversprechende Therapieperspektive für seltenen Hautkrebs

MedUni Wien und Charité identifizieren CD74 als neues Angriffsziel für die Behandlung des kutanen T-Zell-Lymphoms
Alle News
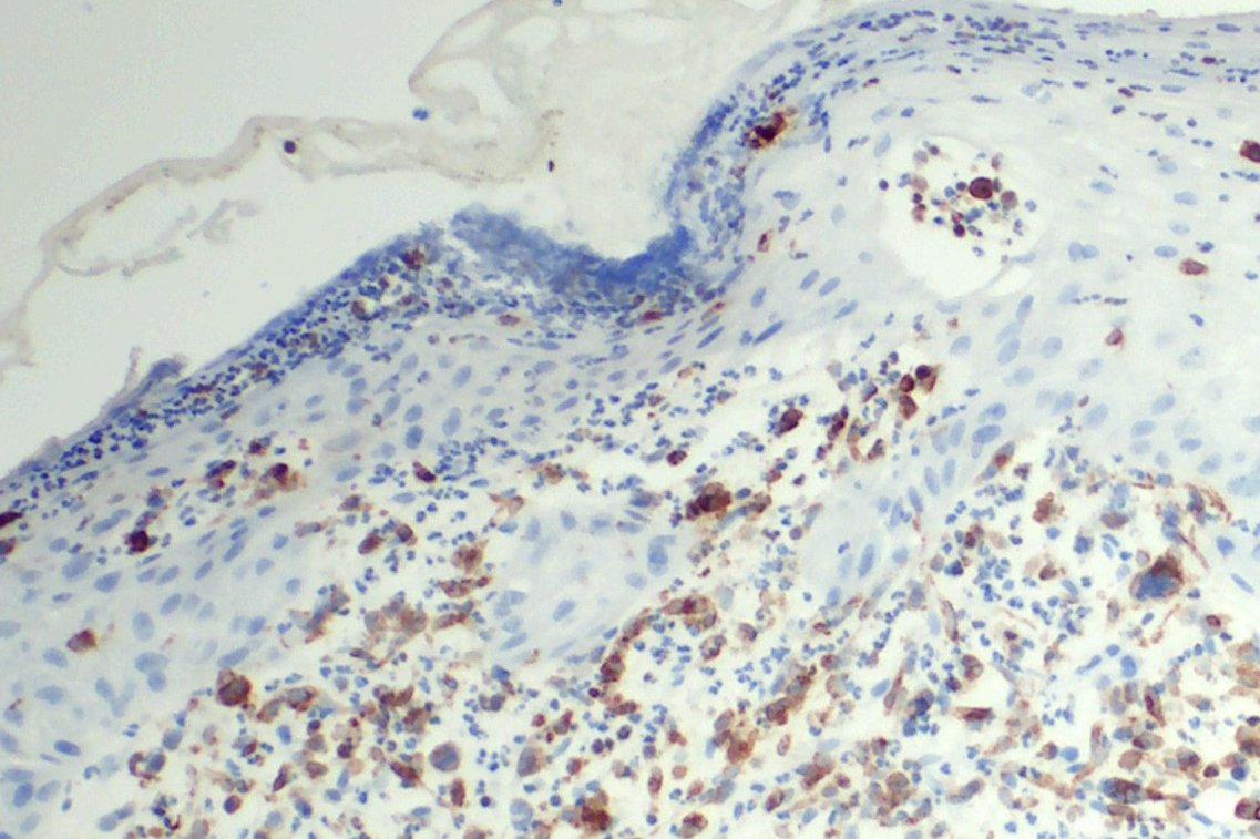
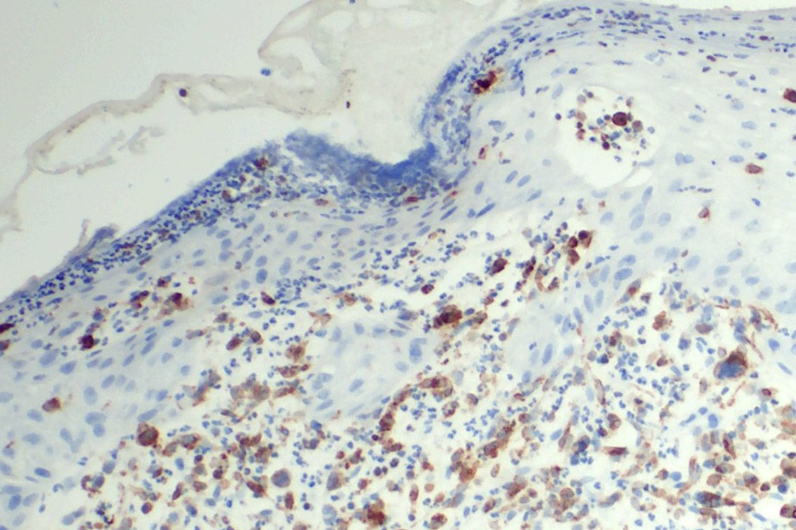
Bild: Charité
Darstellung der Haut (in braun das CD74)

(Wien/Berlin, 05-03-2025) – Das kutane T-Zell-Lymphom ist eine seltene Form von Blutkrebs, dessen fortgeschrittene Stadien mit einer schlechten Prognose einhergehen. Eine neue Studie der MedUni Wien, der Charité – Universitätsmedizin Berlin und des Max Delbrück Center identifizierte das Protein CD74 als vielversprechendes Ziel für innovative Behandlungen. Die Forschungsgruppe konnte zeigen, dass Antikörper-Wirkstoff-Konjugate (ADCs), die gezielt an CD74 binden, Krebszellen wirksam abtöten können.

Das kutane T-Zell-Lymphom (CTCL) ist eine seltene Form von Blutkrebs, die vor allem die Haut befällt. In Europa tritt die Erkrankung mit einer Häufigkeit von etwa 0,5 Fällen pro 100.000 Einwohner:innen pro Jahr auf. Mit den bisher vorhandenen Therapieoptionen gehen vor allem fortgeschrittene Stadien mit einer schlechten Prognose und Lebensqualität einher.

Ein Forschungsteam der MedUni Wien um Olaf Merkel und des Experimental and Clinical Research Center (ECRC), einer gemeinsamen Einrichtung der Charité und des Max Delbrück Center, um Stephan Mathas konnte in einer neuen Studie zeigen, dass das auf CTCL-Zellen exprimierte Protein CD74 ein vielversprechendes Ziel für innovative Therapien darstellt. Die Untersuchung ergab, dass sogenannte Antikörper-Wirkstoff-Konjugate (ADCs), die gezielt an CD74 binden, CTCL-Zellen effektiv abtöten können.

Neuer Therapieansatz für eine schwer behandelbare Krankheit
Bisher fehlen kurative Therapieoptionen für kutane T-Zell-Lymphome. Zwar kommen bereits monoklonale Antikörper und ADCs zum Einsatz, doch das Spektrum der angreifbaren Zelloberflächenstrukturen ist begrenzt. Die neue Studie belegt, dass CD74 in verschiedenen CTCL-Subtypen – darunter auch besonders schwer behandelbare Formen wie das Sézary-Syndrom und fortgeschrittene Stadien der Mycosis fungoides – stark und durchgängig exprimiert wird.

„Unsere Ergebnisse zeigen, dass CD74 nicht nur ein attraktives Zielmolekül für die Antikörpertherapie ist, sondern dass dessen Blockade in präklinischen Modellen zur vollständigen Tumoreradikation führen kann“, erklärt Olaf Merkel. Besonders bemerkenswert ist, dass die Behandlung selbst bei TP53-defekten CTCL-Zellen hochwirksam war – ein Aspekt von großer klinischer Relevanz.

Grundlage für zukünftige klinische Studien
Die Erkenntnisse dieser Studie liefern eine solide Basis, um CD74 als neues Angriffsziel für CTCL weiterzuentwickeln und den Weg für klinische Studien zu ebnen. „Unsere Ergebnisse eröffnen neue Perspektiven für die Behandlung von CTCL-Patient:innen, die bisher nur unzureichende Therapieoptionen haben“, betonen die Studienautoren.

Die Forscher:innen sehen in der CD74-gerichteten Therapie einen vielversprechenden Ansatz, um die Behandlungsmöglichkeiten für Patient:innen mit fortgeschrittenem CTCL nachhaltig zu verbessern.

Publikation: British Journal of Dermatology
Preclinical in vitro and in vivo evidence for targeting CD74 as an effective treatment strategy for cutaneous T-cell lymphomas
Mariantonia Costanza, Catello Giordano, Ann-Christin von Brünneck, Jing Zhao, Ahmad Makky, Katharina Vinh, Ivonne Aidee Montes-Mojarro, Florian Reisinger, Stephan Forchhammer, Agnieszka Witalisz-Siepracka, Sophie Edtmayer, Dagmar Stoiber, Gang Yin, David Horst, Anja Fischer, Reiner Siebert, Jan P Nicolay, Menghong Yin, Martin Janz, Falko Fend, Jürgen C Becker, Christian M Schürch, Lukas Kenner, Chalid Assaf, Olaf Merkel and Stephan Mathas
Br J Dermatol 2025; 00:1–13
https://doi.org/10.1093/bjd/ljaf001